鼻咽癌怎么办?权威肿瘤专家指出:接受放疗的患者治愈率超过80%!
发布日期2021-06-24 10:51:36 观看:670
导读:鼻咽癌是原发于鼻咽黏膜被覆上皮的恶性肿瘤,鼻咽位于颅底和软聘之间连接鼻腔和口咽,癌瘤常侵犯临近的腔窦、颅底或颅内。放射治疗是鼻咽癌的主要治疗手段,而初次接触放疗的
鼻咽癌是原发于鼻咽黏膜被覆上皮的恶性肿瘤,鼻咽位于颅底和软聘之间连接鼻腔和口咽,癌瘤常侵犯临近的腔窦、颅底或颅内。放射治疗是鼻咽癌的主要治疗手段,而初次接触放疗的患者常常会有诸多疑问。
一、如何及早发现鼻咽癌?
作为世界上唯一用地名来命名的肿瘤——鼻咽癌(广东瘤),它的名字来源是因为在我国华南地区发病率最高,尤其在广东省的四会、中山等地区,发病率居世界前列。
鼻咽癌的发病因素是多方面的,包括基因缺陷、免疫缺陷、EB病毒感染以及饮食习惯等。那如何能做到早发现?
广州中医药大学金沙洲医院国际肿瘤医疗中心胡群峰教授指出,如有出现以下一种或者多种症状,建议及早就医做进一步的检查:
1.晨起鼻涕带血,尤其是回吸性涕血;
2.鼻塞;
3.耳鸣,尤其是单侧耳鸣;
4.持续的头痛;
5.颈部有无痛性肿块,固定不消失,甚至逐渐增大等。
二、怀疑得了鼻咽癌后,如何明确诊断?
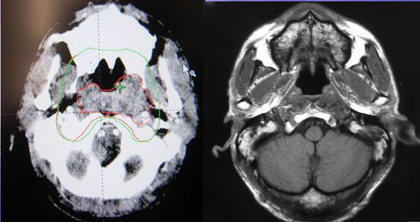
通常需要完善电子鼻咽镜的检查,以获得病理诊断,同时要完成鼻咽和颈部MR检查明确局部区域的分期,完成肝、肺、骨的检查以明确有无远处转移,EB病毒DNA定量检查也是非常有意义的,在诊疗和随访的过程中都要定期的监测。
三、为什么鼻咽癌治疗首选放疗?
鼻咽癌一共分为4期,分期的依据包括鼻咽肿瘤侵犯的范围、颈部淋巴结转移的情况以及全身各种脏器有没有发生远处转移。I期选择单纯放疗,II期选择放疗±化疗,III期和IV期选择放疗、化疗以及其他药物的治疗。5年生存率总体能达到85%,这里告诉大家,一定要有信心,因为这个疾病相对容易治愈。
胡群峰教授表示,鼻咽癌治疗首选放疗而不是手术主要有三个方面的原因:
1、鼻咽癌的位置特殊,手术风险大
鼻咽腔位置的位置特殊,深在又狭小,邻近有许多重要的血管、神经、淋巴组织等,导致手术治疗非常困难,不易做到根治性切除。
2、鼻咽癌的生物发展规律特殊
鼻咽癌有早期沿着淋巴引流区转移的特点,而淋巴管广泛分布在肿瘤周围区域,无法进行完整切除,否则容易继发严重副作用,不符合治疗的目的,因此区域性的治疗方法更适合。
3、放疗的效果好且副作用小
结合鼻咽癌的生物学特点,绝大多数患者对放射线较敏感,且有区域性发病的特点,都是非常适合放疗的。在新技术高速发展的今天,在足量的放射治疗后,鼻咽癌患者可以获得较高的治愈率,且副作用发生率持续下降,放疗这种高治愈、低风险、低损伤的治疗特点,使其在治疗鼻咽癌的首选地位仍然无法动摇。
不同的放疗技术对鼻咽癌的治疗效果也不一样。鼻咽癌最好的放射治疗技术是调强放射治疗(IMRT)。胡群峰教授表示,国际肿瘤医疗中心引进的瓦里安TrueBeam直线加速器拥有的调强放疗技术是从5个以上方向照射肿瘤,提高治疗效果的同时减少正常组织损伤。
一、如何及早发现鼻咽癌?
作为世界上唯一用地名来命名的肿瘤——鼻咽癌(广东瘤),它的名字来源是因为在我国华南地区发病率最高,尤其在广东省的四会、中山等地区,发病率居世界前列。

广州中医药大学金沙洲医院国际肿瘤医疗中心胡群峰教授指出,如有出现以下一种或者多种症状,建议及早就医做进一步的检查:
1.晨起鼻涕带血,尤其是回吸性涕血;
2.鼻塞;
3.耳鸣,尤其是单侧耳鸣;
4.持续的头痛;
5.颈部有无痛性肿块,固定不消失,甚至逐渐增大等。

通常需要完善电子鼻咽镜的检查,以获得病理诊断,同时要完成鼻咽和颈部MR检查明确局部区域的分期,完成肝、肺、骨的检查以明确有无远处转移,EB病毒DNA定量检查也是非常有意义的,在诊疗和随访的过程中都要定期的监测。
三、为什么鼻咽癌治疗首选放疗?
鼻咽癌一共分为4期,分期的依据包括鼻咽肿瘤侵犯的范围、颈部淋巴结转移的情况以及全身各种脏器有没有发生远处转移。I期选择单纯放疗,II期选择放疗±化疗,III期和IV期选择放疗、化疗以及其他药物的治疗。5年生存率总体能达到85%,这里告诉大家,一定要有信心,因为这个疾病相对容易治愈。
胡群峰教授表示,鼻咽癌治疗首选放疗而不是手术主要有三个方面的原因:
1、鼻咽癌的位置特殊,手术风险大
鼻咽腔位置的位置特殊,深在又狭小,邻近有许多重要的血管、神经、淋巴组织等,导致手术治疗非常困难,不易做到根治性切除。
2、鼻咽癌的生物发展规律特殊
鼻咽癌有早期沿着淋巴引流区转移的特点,而淋巴管广泛分布在肿瘤周围区域,无法进行完整切除,否则容易继发严重副作用,不符合治疗的目的,因此区域性的治疗方法更适合。
3、放疗的效果好且副作用小
结合鼻咽癌的生物学特点,绝大多数患者对放射线较敏感,且有区域性发病的特点,都是非常适合放疗的。在新技术高速发展的今天,在足量的放射治疗后,鼻咽癌患者可以获得较高的治愈率,且副作用发生率持续下降,放疗这种高治愈、低风险、低损伤的治疗特点,使其在治疗鼻咽癌的首选地位仍然无法动摇。





